What is the most likely diagnosis?
- 6 year-old fell on outstretched hand

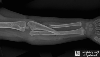
AP Radiograph of Right Forearm
- Chauffeur Fracture
- Greenstick Fracture
- Galeazzi Fracture
- Nightstick Fracture
- Monteggia Fracture
Additional Image-None

Additional Images
None

Answer:
5. Monteggia Fracture
More (Click Discussion Tab)
Monteggia Fracture
General Considerations
- Relatively uncommon fracture of the ulna with dislocation of the radial head
- Galeazzi fractures are three times more common
- Radial head dislocation may be subtle
- Most are as Monteggia first described them (1814) which are fractures of proximal third of ulna with anterior dislocation of radial head
- Bado type 1 is most common: Fracture of the proximal or middle third of the ulna with anterior dislocation of the radial head