|
|
Monteggia Fracture Dislocation
General Considerations
- Relatively uncommon fracture of the ulna with dislocation of the radial head
- Radial head dislocation may be subtle
- Most are as Monteggia first described them (1814) which are fractures of proximal third of ulna with anterior dislocation of radial head
- Bado type 1 is most common: Fracture of the proximal or middle third of the ulna with anterior dislocation of the radial head
- The apex of the ulnar fracture points towards the direction of the dislocation
- Mechanism: falls on an outstretched hand (FOOSH) with forced pronation
- May also occur with a direct blow to forearm
- In children, plastic bowing of the ulna may be associated with radial head dislocations
Bado Classification of Monteggia Fractures
|
Type I |
Fracture of the proximal or middle third of the ulna with anterior dislocation of the radial head |
Type II |
Fracture of the proximal or middle third of the ulna with posterior dislocation of the radial head |
Type III |
Fracture of the ulnar metaphysis with lateral dislocation of the radial head |
Type IV |
Fracture of the proximal or middle third of the ulna and radius with anterior dislocation of the radial head |
Clinical Findings
- Elbow pain
- Swelling
- Deformity
- Crepitus
- Parasthesia or numbness
Imaging Findings
- Conventional radiographs are sufficient to make the diagnosis
- The elbow should be visualized
- Ulna fracture will usually show some positional deformity that produces shortening, such as angulation of the fracture, over-riding of the fragments or acute plastic deformation
- A line drawn longitudinally through the shaft of the radius should intersect the capitellum on all radiographs of the elbow
- The apex of the ulnar fracture almost always points in same direction as radial head dislocation
Treatment
- Radial head dislocations should be treated immediately
- Most pediatric cases can be treated with closed reduction
- Most adult fractures require open reduction and internal fixation
Complications
- Radial nerve injury (especially Bado Type II) or, less commonly, median nerve
- Nonunion
- Limitation of motion at elbow
- Nerve abnormalities

Monteggia Fracture Dislocation. There is a fracture of the mid-shaft of the ulna with angulation leading to shortening (red arrow). A line drawn through the shaft of the radius (yellow line) does not intersect the capitellum (white arrow) indicating a dislocation of the radial head.
For this same photo with the arrows, click here

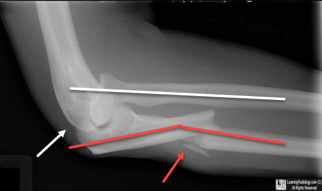
Monteggia Fracture Dislocation. There is a fracture of the mid-shaft of the ulna (red arrow) with angulation (red line) leading to shortening of the overall length of the ulna. A line drawn through the shaft of the radius (white line) does not intersect the capitellum (white arrow) indicating a dislocation of the radial head.
For more information, click on the link if you see this icon 
Monteggia Fracture. F Putigna, K Strohmeyer, and RL Ursone. eMedicine.
|
|
|