What is the most likely diagnosis?
- 62 year-old with hypercalcemia

Frontal view of abdomen
- Metastatic Ovarian Carcinoma
- Renal Cell Carcinoma
- Cortical Nephrocalcinosis
- Tuberculosis
- Medullary Nephrocalcinosis
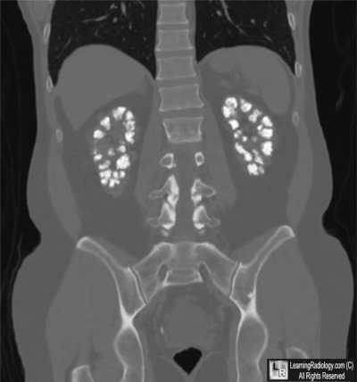
Additional Image-Coronal CT of Abdomen

Additional Images

Coronal CT of Abdomen

Answer:
5. Medullary Nephrocalcinosis
More (Click Discussion Tab)
Medullary Nephrocalcinosis
General Considerations
- Increased calcium content of kidneys
- Usually applies to a generalized, rather than localized, increase in renal calcium content
- Macroscopic nephrocalcinosis is nephrocalcinosis visible without magnification discovered by radiography, ultrasonography, or at autopsy
- Macroscopic nephrocalcinosis can affect either cortex or medulla
- Medulla more common
- Diffuse calcification rarely observed in chronic glomerulonephritis or long-standing chronic renal disease