What is the most likely diagnosis?
- 41 year-old with congestive heart failure

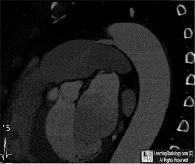
Sagittal CT Reconstruction through Heart
- Coarctation of the Aorta
- Mitral Stenosis
- Tricuspid Atresia
- Cor Triatriatum
- Patent Ductus Arteriosus
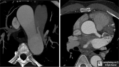
Additional Image-Axial CT Reconstructions through Heart

Additional Images

Axial CT Reconstructions through Heart

Answer:
5. Patent Ductus Arteriosus
More (Click Discussion Tab)
Patent Ductus Arteriosus
General Considerations
- Persistent communication between the thoracic aorta and the pulmonary artery by the ductus arteriosus
- In fetal life, ductus carried blood from the pulmonary artery to the aorta, essentially bypassing the fetal lungs
- The ductus usually closes functionally within a few hours after birth
- If the ductus remains patent beyond 3 months, it is considered abnormal
- The effect of the left-to-right shunt will depend on the size of the shunt and the pulmonary vascular resistance