What is the most likely diagnosis?
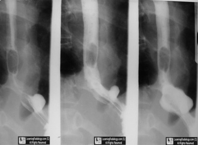
- 51 year-old female with long-standing gastro-esophageal reflux

Images from Barium Esophagram
- Esophageal Varices
- Adenocarcinoma
- Epiphrenic Diverticulum
- Inflammatory Polyp
- Carcinoid Tumor
Additional Images-None

Additional Images
None

Answer:
3. Inflammatory Polyp
More (Click Discussion Tab)
Inflammatory Polyp
General Considerations
- Uncommon polypoid lesions of the esophagus
- Most common mucosal lesion: squamous papilloma
- Most common submucosal lesion: leiomyoma
- Nearly all occur in the distal esophagus or esophagogastric junction
- Frequently associated with erosive esophagitis or ulcer
- No malignant potential reported