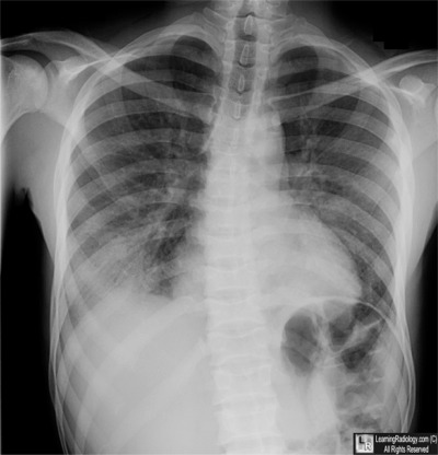
What is the most likely diagnosis?
- 26 year-old with fever, shortness of breath

Frontal Chest Radiograph
- Pulmonary Edema
- Acute Chest Syndrome
- Goodpasture Syndrome
- Free Air
- Scoliosis
Additional Image-None

Additional Images
None

Answer:
2. Acute Chest Syndrome
More (Click Discussion Tab)
Acute Chest Syndrome
General Considerations
- Leading cause of death in patients with sickle cell disease
- Syndrome is characterized by
- New airspace disease on chest x-ray, and one or more of the following:
- Fever (variable)
- Cough
- Sputum production
- Shortness of breath
- Hypoxia