What is the most likely diagnosis?
- 47 year-old male with numbness in arms

Lateral Cervical Spine Radiograph
- Ankylosing Spondylitis
- Diffuse Idiopathic Skeletal Hyperostosis
- Rheumatoid Arthritis
- Hyperparathyroidism
- Ossification of the Posterior Longitudinal Ligament
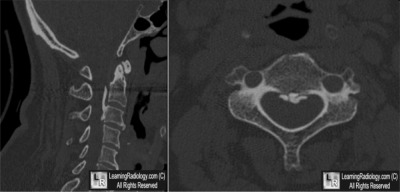
Additional Images - Sagittal and axial CT images of the cervical spine

Additional Images

Sagittal and axial CT images of the cervical spine

Answer:
5. Ossification of the Posterior Longitudinal Ligament (OPLL)
More (Click Discussion Tab)
Ossification of the Posterior Longitudinal Ligament (OPLL)
General Considerations
- Heterotopic ossification of the posterior longitudinal ligament
- Occurs primarily in cervical, most often C4-C5, next most commonly in thoracic spine and least frequently in lumbar spine
- Most commonly in 40s and 50s
- Twice as common in males as females
- Higher prevalence in Asian population, especially Japanese