What is the most likely diagnosis?
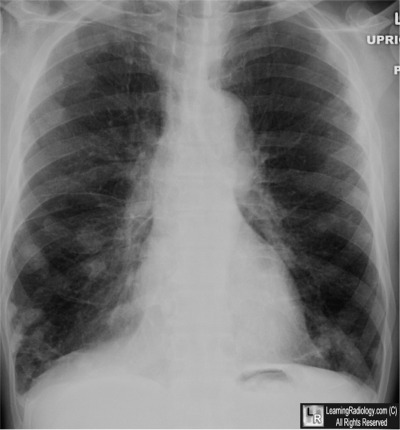
- 63 year-old male with history of arthritis

Frontal Chest Radiograph
- Histiocytosis X
- Septic Emboli
- Erosive Osteoarthritis
- Rheumatoid Nodules
- Reactive Arthritis
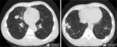
Additional Images - Axial CT images of the chest

Additional Images

Axial CT images of the chest

Answer:
4. Rheumatoid Nodules
More (Click Discussion Tab)
Rheumatoid Nodules
General Considerations
- Rare
- Immune-mediated granulomas frequently with necrotic centers
- They are almost always associated with long, standing active rheumatoid arthritis
- More frequent in males with high titers for rheumatoid factor
- Also more frequent in smokers and those who already have subcutaneous nodules