What is the most likely diagnosis?
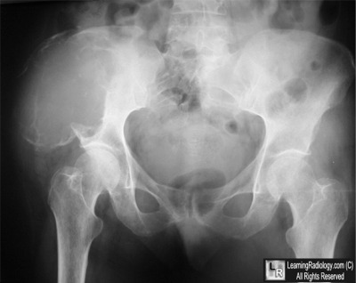
- 61 year-old female with pain in the right side. What's the most likely primary malignancy?

Frontal Radiograph of the Pelvis
- Ovarian Carcinoma
- Carcinoid Tumor
- Renal Cell Carcinoma
- Colon Carcinoma
- Breast Carcinoma
Additional Images - None

Additional Images
None

Answer:
3. Renal Cell Carcinoma
More (Click Discussion Tab)
Renal Cell Carcinoma
General Considerations
- Metastases are most common
malignant bone tumors
- Most involve axial skeleton
- Skull, spine and pelvis
- Rarely do mets occur distal to
elbows or knees
- Spread hematogenously
- Most frequently occur where
red bone marrow is found
- Mets to spine frequently destroy
posterior vertebral body including
pedicle first=”pedicle-sign”