Cardiac
GI
Bone
GU
Neuro
Peds
Faculty
Student
Quizzes
Image DDX
Museum
Mobile
  Misc
Videocasts
Signs
Twitter

 

 


Learning
Radiology:
Recognizing
the Basics

Available
on the Kindle
and IPad


LearningRadiology Imaging Signs
on Twitter


 

Follow us on

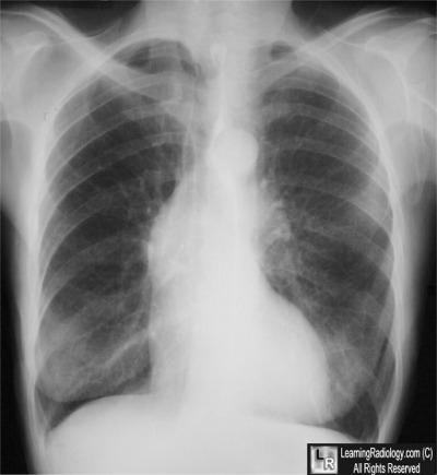
Case of the Week 552


What is the most likely diagnosis?

  • 71 year-old with chest pain and syncope



Frontal Radiograph of Chest

  1. Mitral stenosis
  2. Pulmonic stenosis
  3. Aortic stenosis
  4. Mitral regurgitation
  5. Double aortic arch

Additional Images - None

 

Additional Images

 


None


Answer:

 

3. Aortic Stenosis

 

More (Click Discussion Tab)

 

 

Aortic Stenosis

General Considerations 

  • Most often as result of degeneration of bicuspid aortic valve
  • Less commonly rheumatic heart disease or secondary to degeneration of a tricuspid aortic valve in person > 65

MORE . . .

 


.

This Week

61 year-old with chest pain and syncope
 
 
Some of the fundamentals of interpreting chest images
 
The top diagnostic imaging diagnoses that all medical students should recognize according to the Alliance of Medical Student Educators in Radiology
 
Recognizing normal and  key abnormal intestinal gas patterns, free air and abdominal calcifications
 
Recognizing the parameters that define a good chest x-ray; avoiding common pitfalls
 
How to recognize the most common arthritides




LearningRadiology
Named Magazine's
"25 Most Influential"



See Article on LearningRadiology
in August, 2010
RSNA News


LearningRadiology.com
is an award-winning educational website aimed primarily at medical students and radiology residents-in-training, containing  lectures, handouts, images, Cases of the Week, archives of cases, quizzes, flashcards of differential diagnoses and “most commons” lists, primarily in the areas of chest, GI, GU cardiac, bone and neuroradiology.