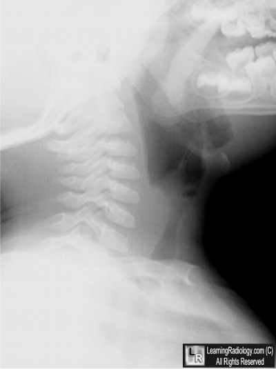
What is the most likely diagnosis?
- 1 year-old with persistent cough

Soft Tissue Lateral Neck Radiograph
- Adenoiditis
- Laryngeal Carcinoma
- Epiglottitis
- Croup
- Lymphocoele
Additional Images - None

Additional Images
None

Answer:
4. Croup
More (Click Discussion Tab)
Croup
General Considerations
- Croup
- Laryngeotracheobronchitis
- Usually viral
- May be difficult to distinguish from early retropharyngeal abscess
- Occurs at age 6 months to 2 years
- Younger than epiglottitis
- The three major findings of croup
- Distension of the hypopharynx
- Distension of the laryngeal ventricle
- Haziness or narrowing of subglottic space