Cardiac
GI
Bone
GU
Neuro
Peds
Faculty
Student
Quizzes
Image DDX
Museum
Mobile
  Misc
Videocasts
Signs
Twitter

 

 


Learning
Radiology:
Recognizing
the Basics

Available
on the Kindle
and IPad


LearningRadiology Imaging Signs
on Twitter


 

Follow us on

Case of the Week 547


What is the most likely diagnosis?

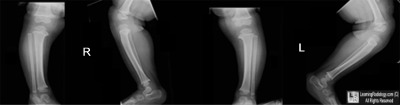
  • 4 year-old with bowlegs



Frontal and lateral views of both lower legs

  1. Rickets
  2. Fibrous Dysplasia
  3. Blount Disease
  4. Tuberculosis
  5. Syphilis

Additional Image-None

 

Additional Images

 


None


Answer:

 

3. Blount Disease

 

More (Click Discussion Tab)

 

 

Blount Disease

General Considerations

  • Growth disturbance in the proximal, medial, epiphyseal plate, epiphysis, and metaphysis of the tibia produces medial angulation (varus deformity) at the knee and internal rotation of the tibia
  • Pathogenesis is uncertain
  • The early onset or infantile type occurs in children under 3 years of age (more common)

MORE . . .

 


.

This Week

4 year-old with bowlegs
 
 
Some of the fundamentals of interpreting chest images
 
The top diagnostic imaging diagnoses that all medical students should recognize according to the Alliance of Medical Student Educators in Radiology
 
Recognizing normal and  key abnormal intestinal gas patterns, free air and abdominal calcifications
 
Recognizing the parameters that define a good chest x-ray; avoiding common pitfalls
 
How to recognize the most common arthritides




LearningRadiology
Named Magazine's
"25 Most Influential"



See Article on LearningRadiology
in August, 2010
RSNA News


LearningRadiology.com
is an award-winning educational website aimed primarily at medical students and radiology residents-in-training, containing  lectures, handouts, images, Cases of the Week, archives of cases, quizzes, flashcards of differential diagnoses and “most commons” lists, primarily in the areas of chest, GI, GU cardiac, bone and neuroradiology.