Cardiac
GI
Bone
GU
Neuro
Peds
Faculty
Student
Quizzes
Image DDX
Museum
Mobile
  Misc
Videocasts
Signs
Twitter

 

 


Learning
Radiology:
Recognizing
the Basics

Available
on the Kindle
and IPad


LearningRadiology Imaging Signs
on Twitter


 

Follow us on

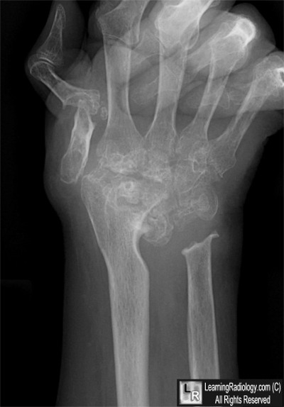
Case of the Week 545


What is the most likely diagnosis?

  • 51 year-old female with wrist pain



Frontal view of right wrist

  1. Hemophilia
  2. Psoriasis
  3. Neurofibromatosis
  4. Rheumatoid Arthritis
  5. Hyperparathyroidism

No additional images

 

Additional Images

 


None


Answer:

 

4. Rheumatoid Arthritis

 

More (Click Discussion Tab)

 

 

Rheumatoid Arthritis

General Considerations

  • Cause ─ unknown
    • Possible genetic predisposition
    • Questionable reaction to antigen from Epstein-Barr virus
  • Age-Highest incidence 40-50 years
    • Female preponderance 3:1 under the age of 40; equal distribution over 40 years
  • Pathogenesis
    • Injury to synovial endothelial cells leads to
    • Synovitis with synovial hypertrophy which leads to
    • Impaired nutrition with necrosis of cartilage and resultant
    • Joint narrowing
      • Subluxation
      • Ankylosis

MORE . . .

 


.

This Week

51 year-old female with wrist pain
 
 
Some of the fundamentals of interpreting chest images
 
The top diagnostic imaging diagnoses that all medical students should recognize according to the Alliance of Medical Student Educators in Radiology
 
Recognizing normal and  key abnormal intestinal gas patterns, free air and abdominal calcifications
 
Recognizing the parameters that define a good chest x-ray; avoiding common pitfalls
 
How to recognize the most common arthritides




LearningRadiology
Named Magazine's
"25 Most Influential"



See Article on LearningRadiology
in August, 2010
RSNA News


LearningRadiology.com
is an award-winning educational website aimed primarily at medical students and radiology residents-in-training, containing  lectures, handouts, images, Cases of the Week, archives of cases, quizzes, flashcards of differential diagnoses and “most commons” lists, primarily in the areas of chest, GI, GU cardiac, bone and neuroradiology.