What is the most likely diagnosis?
- 71 year-old with lower extremity swelling

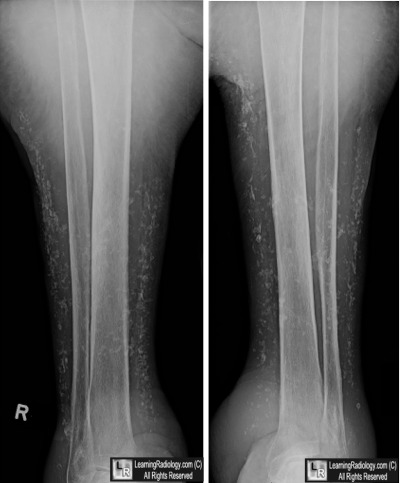
Frontal Radiographs of Both Legs
- Lupus Erythematosis
- Heterotopic ossification
- Chronic Venous Insufficiency
- Hypertrophic Osteoarthropathy
- Cysticercosis
No additional images

Additional Images
None

Answer:
3. Chronic Venous Insufficiency
More (Click Discussion Tab)
Chronic Venous Insufficiency
General Considerations
- Most often occurs in veins of the legs
- Retrograde flow of blood in veins
- Most often due to incompetence of the valves in the lower pressure, superficial venous system
- May also be due to incompetence of the venous valves in the higher pressure, deep venous system or, rarely, in both
- It may also result from congenital absence of the valves