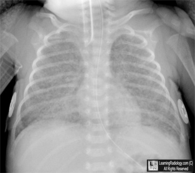
What is the most likely diagnosis?
- 4 week old premature infant

Frontal Radiograph of the Chest
- Transient tachypnea of the newborn
- Diaphragmatic hernia
- Bronchopulmonary dysplasia
- Congenital adenomatoid malformation
- Meconium aspiration syndrome
No additional images

Additional Images
None

Answer:
3. Bronchopulmonary dysplasia
More (Click Discussion Tab)
Bronchopulmonary dysplasia
General Considerations
- First described as a chronic lung disease seen in premature newborns treated for respiratory distress syndrome (RDS) with supplemental oxygen and mechanical ventilation for at least one week
- It is now recognized that bronchopulmonary dysplasia (BPD) may complicate other types of neonatal lung disorders such as meconium aspiration syndrome and pneumonia
- Common to almost all causes is oxygen administered under positive pressure