What is the most likely diagnosis?
- 43 year-old with foreign body in right main bronchus

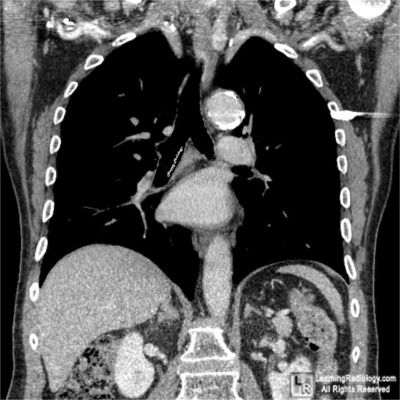
Coronal Reformatted CT Scan of the Chest
- Broncholith
- Old TB
- Dermoid
- Carcinoid tumor
- Season's Greeting
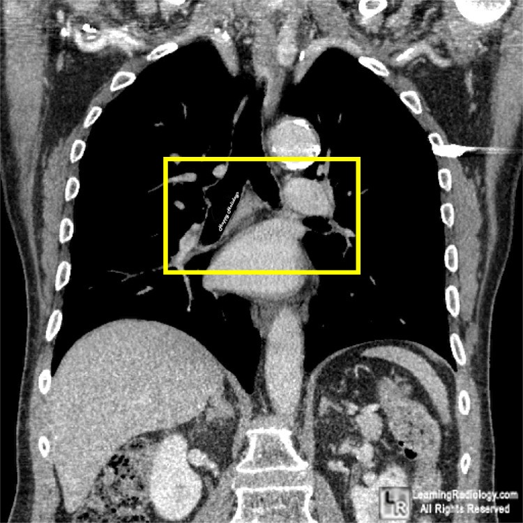
Additional Image - Close-up of right main bronchus

Additional Images

Mouse over for extreme close-up

Answer:
5. Season's Greetings
More (Click Discussion Tab)
Happy Holidays
General Considerations
- Happy New Year
- From LearningRadiology.com
This is a retouched photograph of a coronal reformatted CT scan of the chest. There is no foreign body present.
... More