Cardiac
GI
Bone
GU
Neuro
Peds
Faculty
Student
Quizzes
Image DDX
Museum
Mobile
  Misc
Videocasts
Signs
Twitter

 

 


Learning
Radiology:
Recognizing
the Basics

Available
on the Kindle
and IPad


LearningRadiology Imaging Signs
on Twitter


 

Follow us on

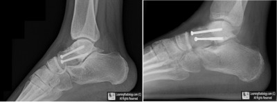
Case of the Week 536


What is the most likely diagnosis?

  • 48 year-old with injury 6 months earlier



Lateral Radiographs of the Ankle

  1. Fracture of Fixation Screw
  2. Osteochondritis Dissecans
  3. Metastatic Breast Carcinoma
  4. Osteomyelitis
  5. Avascular Necrosis of Talus

Additional Image-None

 

Additional Images

 


Sagittal CT Image of the Talus


Answer:

 

5. Avascular Necrosis of Talus

 

More (Click Discussion Tab)

 

 

Avascular Necrosis of Talus

General Considerations

  • The vascular supply to the talus consists of relatively small vessels combined with poor collateral circulation which predispose the talus to avascular necrosis when there is a disturbance of its blood supply
  • The talus is also covered by a large percentage of articular cartilage which is not penetrated by blood vessels

 

MORE . . .

 


.

This Week

48 year-old with injury 6 months earlier
 
 
Some of the fundamentals of interpreting chest images
 
The top diagnostic imaging diagnoses that all medical students should recognize according to the Alliance of Medical Student Educators in Radiology
 
Recognizing normal and  key abnormal intestinal gas patterns, free air and abdominal calcifications
 
Recognizing the parameters that define a good chest x-ray; avoiding common pitfalls
 
How to recognize the most common arthritides




LearningRadiology
Named Magazine's
"25 Most Influential"



See Article on LearningRadiology
in August, 2010
RSNA News


LearningRadiology.com
is an award-winning educational website aimed primarily at medical students and radiology residents-in-training, containing  lectures, handouts, images, Cases of the Week, archives of cases, quizzes, flashcards of differential diagnoses and “most commons” lists, primarily in the areas of chest, GI, GU cardiac, bone and neuroradiology.