Cardiac
GI
Bone
GU
Neuro
Peds
Faculty
Student
Quizzes
Image DDX
Museum
Mobile
  Misc
Videocasts
Signs
Twitter

 

 


Learning
Radiology:
Recognizing
the Basics

Available
on the Kindle
and IPad


LearningRadiology Imaging Signs
on Twitter


 

Follow us on

Case of the Week 530


What is the most likely diagnosis?

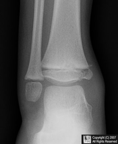
  • 10 year-old with pain in ankle after fall



Frontal radiograph of the ankle

  1. Salter-Harris I fracture
  2. Salter-Harris II fracture
  3. Salter-Harris III fracture
  4. Salter-Harris IV fracture
  5. Salter-Harris V fracture

Additional Image-None

 

Additional Images


None


Answer:

 

4. Salter-Harris IV fracture

 

More (Click Discussion Tab)

 

 

Salter-Harris IV fracture

General Considerations

  • The epiphyseal plate (physis or growth plate) is the weakest part of the bone to shearing injuries
  • The Salter-Harris classification is a means of categorizing epiphyseal plate fractures and provides clues to their prognosis
  • All such these fractures, by definition, involve or extend through the epiphyseal plate so that all such fractures occur in children before the epiphyseal plate closes

    MORE . . .

     


    .

    This Week

    10 year-old with pain in ankle after fall
     
     
    Some of the fundamentals of interpreting chest images
     
    The top diagnostic imaging diagnoses that all medical students should recognize according to the Alliance of Medical Student Educators in Radiology
     
    Recognizing normal and  key abnormal intestinal gas patterns, free air and abdominal calcifications
     
    Recognizing the parameters that define a good chest x-ray; avoiding common pitfalls
     
    How to recognize the most common arthritides




    LearningRadiology
    Named Magazine's
    "25 Most Influential"



    See Article on LearningRadiology
    in August, 2010
    RSNA News


    LearningRadiology.com
    is an award-winning educational website aimed primarily at medical students and radiology residents-in-training, containing  lectures, handouts, images, Cases of the Week, archives of cases, quizzes, flashcards of differential diagnoses and “most commons” lists, primarily in the areas of chest, GI, GU cardiac, bone and neuroradiology.