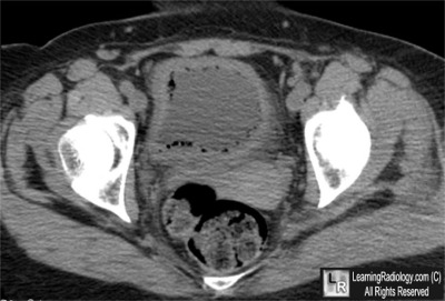
What is the most likely diagnosis?

Axial CT scan through pelvis
- Lymphoma
- Avascular Necrosis of the Hips
- Emphysematous Cystitis
- Rectal Carcinoma
- Uterine Fibroids
Additional Image-None

Additional Images
None

Answer:
3. Emphysematous Cystitis
More (Click Discussion Tab)
Emphysematous Cystitis
General Considerations
- Acute inflammation of bladder mucosa and underlying muscle
- Diabetes mellitus, frequently poorly controlled, is present in 50-80% of cases
- Other predisposing conditions
- Chronic urinary tract infections
- Neurogenic bladder
- Bladder outlet obstruction
- Women are affected twice as often as men
- Gas-forming organisms most often found include E. coli and Enterobacter aerogens, with Clostridia and Candida species found on occasion