Cardiac
GI
Bone
GU
Neuro
Peds
Faculty
Student
Quizzes
Image DDX
Museum
Mobile
  Misc
Videocasts
Signs
Twitter

 

 


Learning
Radiology:
Recognizing
the Basics

Available
on the Kindle
and IPad


LearningRadiology Imaging Signs
on Twitter


 

Follow us on

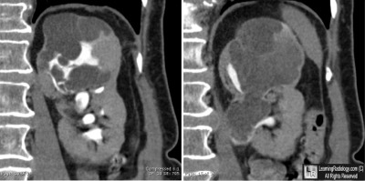
Case of the Week 526


What is the most likely diagnosis?

  • 36 year-old female with flank pain



Left Kidney-Contrast-Enhanced CT Urogram

  1. Hydronephrosis
  2. Renal Cell Carcinoma
  3. Xanthogranulomatous Pyelonephritis
  4. Cystic Nephroma
  5. Staghorn calculus

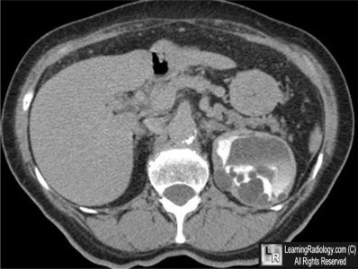
Additional Image - Axial contrast-enhanced CT of the upper abdomen

 

Additional Images




Axial contrast-enhanced CT of the upper abdomen


Answer:

 

4. Cystic Nephroma

 

More (Click Discussion Tab)

 

 

Cystic Nephroma

General Considerations

  • Rare, unilateral multi-loculated cystic tumor lacking blastemal elements
  • Solitary, well-circumscribed
  • Non-communicating fluid-filled locules, surrounded by thick, fibrous capsule
  • Do not connect to the collecting system
  • Usually quite large (mean 7.6 cm by 9.7 cm)
  • Most common in lower pole
  • Bimodal occurrence
    • Affects males more often in childhood ( 3 months-4 years)
      • 50% cystic nephromas and 50% CPDN (see below)
    • Females more frequently in adulthood (>30)

    MORE . . .

     


    .

    This Week

    36 year-old female with flank pain
     
     
    Some of the fundamentals of interpreting chest images
     
    The top diagnostic imaging diagnoses that all medical students should recognize according to the Alliance of Medical Student Educators in Radiology
     
    Recognizing normal and  key abnormal intestinal gas patterns, free air and abdominal calcifications
     
    Recognizing the parameters that define a good chest x-ray; avoiding common pitfalls
     
    How to recognize the most common arthritides




    LearningRadiology
    Named Magazine's
    "25 Most Influential"



    See Article on LearningRadiology
    in August, 2010
    RSNA News


    LearningRadiology.com
    is an award-winning educational website aimed primarily at medical students and radiology residents-in-training, containing  lectures, handouts, images, Cases of the Week, archives of cases, quizzes, flashcards of differential diagnoses and “most commons” lists, primarily in the areas of chest, GI, GU cardiac, bone and neuroradiology.