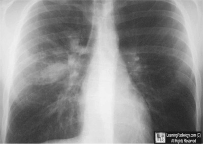
What is the most likely diagnosis?
- 18 year-old asthmatic with cough

Frontal Radiograph of Chest
- Pneumothorax
- RUL Pneumonia
- Pneumomediastinum
- Lymphoma
- Allergic Bronchopulmonary Aspergillosis
Additional Images-Close-up view of chest

Additional Images

Close-up view of right lower lobe

Answer:
5. Allergic Bronchopulmonary Aspergillosis
More (Click Discussion Tab)
Allergic Bronchopulmonary Aspergillosis
General Considerations
- Inflammation of the airways caused by an allergic response to Aspergillus Fumigatus
- Associated in 2% of cases with asthma and in 10% of cases of cystic fibrosis
- Most common in 3rd-4th decades of life
- Repeated episodes of inflammation and obstruction lead to bronchiectasis