Cardiac
GI
Bone
GU
Neuro
Peds
Faculty
Student
Quizzes
Image DDX
Museum
Mobile
  Misc
Videocasts
Signs
Twitter

 

 


Learning
Radiology:
Recognizing
the Basics

Available
on the Kindle
and IPad


LearningRadiology Imaging Signs
on Twitter


 

Follow us on

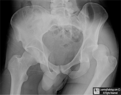
Case of the Week 522


What is the most likely diagnosis?

  • 37 year-old in motor vehicle accident



Frontal Radiograph of Pelvis

  1. Bladder Rupture
  2. Pelvic Fracture
  3. Central Dislocation
  4. Posterior Hip Dislocation
  5. Anterior Hip Dislocation

Additional Images-None

 

Additional Images

 


None


Answer:

 

4. Posterior Hip Dislocation

 

More (Click Discussion Tab)

 

 

Posterior Hip Dislocation

General Considerations

  • Hip dislocation accounts for only 5% of all dislocations
    • Posterior hip dislocations are much more common than anterior hip dislocations (90% to about 10%)
  • Mechanism in posterior dislocation classically is unrestrained occupant of a motor vehicle accident, especially collisions which are head-on, in which the flexed knee strikes dash with hip flexed and adducted
    • Force is transmitted from the foot or ankle along femoral shaft to the hip
    • Associated with fractures of the posterior rim of the acetabulum

    MORE . . .

     


    .

    This Week

    37 year-old in motor vehicle accident
     
     
    Some of the fundamentals of interpreting chest images
     
    The top diagnostic imaging diagnoses that all medical students should recognize according to the Alliance of Medical Student Educators in Radiology
     
    Recognizing normal and  key abnormal intestinal gas patterns, free air and abdominal calcifications
     
    Recognizing the parameters that define a good chest x-ray; avoiding common pitfalls
     
    How to recognize the most common arthritides




    LearningRadiology
    Named Magazine's
    "25 Most Influential"



    See Article on LearningRadiology
    in August, 2010
    RSNA News


    LearningRadiology.com
    is an award-winning educational website aimed primarily at medical students and radiology residents-in-training, containing  lectures, handouts, images, Cases of the Week, archives of cases, quizzes, flashcards of differential diagnoses and “most commons” lists, primarily in the areas of chest, GI, GU cardiac, bone and neuroradiology.