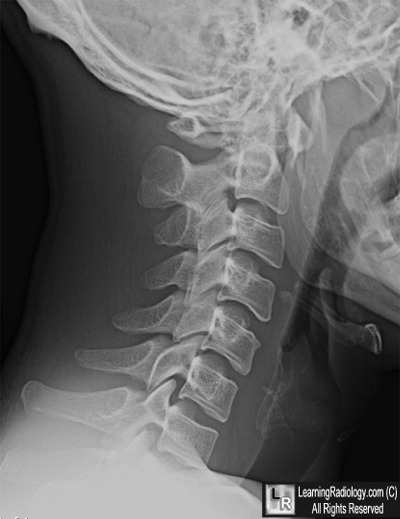
What is the most likely diagnosis?
- 27 year-old with neck pain after fall

Lateral Radiograph of Cervical Spine
- Foreign Body Impaction
- Atlanto-axial Subluxation
- Lymphoma
- Paget Disease
- Atlanto-occipital Dislocation
Additional Images-None

Additional Images
None

Answer:
2. Atlanto-axial Subluxation
More (Click Discussion Tab)
Atlanto-axial Subluxation
General Considerations
- Distance between the anterior surface of the dens and the posterior surface of the tubercle of C1 is usually 3 mm or less in adults and 5 mm or less in children
- This space is called by many names: predentate space, predental space, atlantodental distance
- The distance may increase slightly on flexion in children but is usually unchanged between flexion and extension in adults
- Forward movement of the atlas on the axis is normally restricted by the transverse ligament