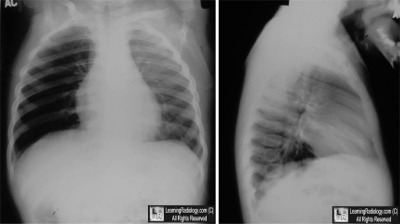
What is the most likely diagnosis?
- 16 month-old with wheezing

Frontal and Lateral Chest Radiograph
- Double aortic arch
- Asthma
- Aspirated foreign body
- Croup
- Left pleural effusion
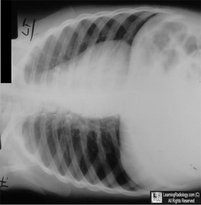
Additional Images-Right Lateral Decubitus Chest Radiograph

Additional Images

Right Lateral Decubitus Chest Radiograph

Answer:
3. Aspirated foreign body
More (Click Discussion Tab)
Aspirated foreign body
General Considerations
- Children between 1-3 are most at risk
- Twice as common in males as females
- Up until age 15, both right and left main bronchi arise at about the same angle from the trachea so that objects may be aspirated into either side
- Afterwards, the right main bronchus arises in a less acute, more straight path than the left