What is the most likely diagnosis?
- 38 year-old female with foot pain and swelling

Frontal and Oblique View of Left Foot
- Stress Fractures
- Osteomyelitis
- Rheumatoid Arthritis
- Multiple Myeloma
- Complex Regional Pain Syndrome
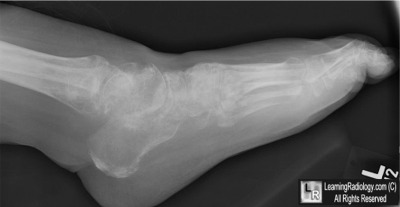
Additional Image-Lateral Radiograph of Same Foot

Additional Images

Lateral Radiograph of Same Foot

Answer:
5. Complex Regional Pain Syndrome
More (Click Discussion Tab)
Complex Regional Pain Syndrome
General Considerations
- Has also been called Reflex Sympathetic Dystrophy and Sudeck’s Atrophy
- Complex Regional Pain Syndrome (CRPS) overwhelmingly affects white females
- Cause is unknown but may involve an immune mediated mechanism
- Most cases occur secondary to fractures, sprains, and minor soft tissue injury
- Other causes include
- Head injury
- Stroke
- Myocardial infarction
- Cast/splint immobilization