What is the most likely diagnosis?
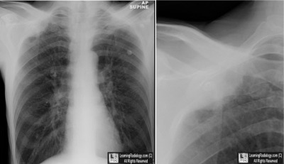
- 62 year-old with emphysema

Frontal Chest Radiograph with Close-Up
- Actinomycosis
- Apical Pleural Cap
- Old Tuberculosis
- Metastasis
- Pleural Lipoma
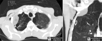
Additional Image-Axial Chest CT with Coronal Reconstruction

Additional Images

Axial Chest CT with Coronal Reconstruction
(Pay no attention to the subcutaneous emphysema and chest tube)

Answer:
5. Pleural Lipoma
More (Click Discussion Tab)
Pleural Lipoma
General Considerations
- Most common benign soft tissue tumors of the pleura
- Believed to originate in the parietal pleura extending into the subpleural, pleural, or extrapleural space
- Slow-growing, encapsulated
- May become quite large