Cardiac
GI
Bone
GU
Neuro
Peds
Faculty
Student
Quizzes
Image DDX
Museum
Mobile
  Misc
Videocasts
Signs
Twitter

 

 


Learning
Radiology:
Recognizing
the Basics

Available
on the Kindle
and IPad


LearningRadiology Imaging Signs
on Twitter


 

Follow us on

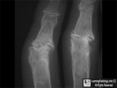
Case of the Week 495


What is the most likely diagnosis?

  • 73 year-old woman with pain, redness, swelling in joints



Frontal Radiograph of Right Hand

  1. Rheumatoid Arthritis
  2. Gout
  3. Sardoidosis
  4. Septic Arthritis
  5. Erosive Osteoarthritis

Additional Images - Close-up View of PIP Joints

 

Additional Images

 

Close-up View of Proximal Interphalangeal Joints


Answer:

 

5. Erosive Osteoarthritis

 

More (Click Discussion Tab)

 

 

Erosive Osteoarthritis

General Considerations

  • Inflammatory arthritis which most commonly occurs in women over the age of 60
  • It is a form of osteoarthritis with a strong inflammatory component
  • Usually involves hand
    • Hip and knee are rarely involved

 

MORE . . .

 


.

This Week

73 year-old woman with pain, redness, swelling in joints
 
Presented as a series of cards, this podcast asks some of the most common causes of neuroimaging findings and diseases making it ideal for a quick review. Can be used as either an audio only or audio/video podcast.; Complements Video Flashcard Podcasts 15, 21,25, 38, 42, 46 and 47.
 
 
Some of the fundamentals of interpreting chest images
 
The top diagnostic imaging diagnoses that all medical students should recognize according to the Alliance of Medical Student Educators in Radiology
 
Recognizing normal and  key abnormal intestinal gas patterns, free air and abdominal calcifications
 
Recognizing the parameters that define a good chest x-ray; avoiding common pitfalls
 
How to recognize the most common arthritides


Now Open!

LearningRadiology
Named Magazine's
"25 Most Influential"



See Article on LearningRadiology
in August, 2010
RSNA News


LearningRadiology.com
is an award-winning educational website aimed primarily at medical students and radiology residents-in-training, containing  lectures, handouts, images, Cases of the Week, archives of cases, quizzes, flashcards of differential diagnoses and “most commons” lists, primarily in the areas of chest, GI, GU cardiac, bone and neuroradiology.