Cardiac
GI
Bone
GU
Neuro
Peds
Faculty
Student
Quizzes
Image DDX
Museum
Mobile
  Misc
Videocasts
Signs
Twitter

 

 


Learning
Radiology:
Recognizing
the Basics

Available
on the Kindle
and IPad


LearningRadiology Imaging Signs
on Twitter


 

Follow us on

Case of the Week 494


What is the most likely diagnosis?

  • 32 year-old with hip pain after fall



AP and lateral view of right hip

  1. Heterotopic Ossification
  2. Avulsion of Ant. Sup. Iliac Spine
  3. Pelvic digit
  4. Fracture of Ischium
  5. Foreign Body

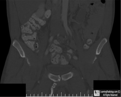
Additional Images - Coronal Reformatted CT of Pelvis

 

Additional Images

 

Coronal Reformatted CT of Pelvis


Answer:

 

3. Pelvic Digit

 

More (Click Discussion Tab)

 

 

Pelvic Digit

General Considerations

  • Rare congenital anomaly
  • Bone develops in soft tissue
  • Can arise from any of the pelvic bones; also anterior abdominal wall
    • Most commonly arises from ilium
  • Unilateral
  • Believed to arise in mesenchymal stage of bone growth within first 6 weeks of embryogenesis

 

MORE . . .

 


.

This Week

32 year-old with hip pain after fall
 
Presented as a series of cards, this podcast asks some of the most common causes of neuroimaging findings and diseases making it ideal for a quick review. Can be used as either an audio only or audio/video podcast.; Complements Video Flashcard Podcasts 15, 21,25, 38, 42, 46 and 47.
 
 
Some of the fundamentals of interpreting chest images
 
The top diagnostic imaging diagnoses that all medical students should recognize according to the Alliance of Medical Student Educators in Radiology
 
Recognizing normal and  key abnormal intestinal gas patterns, free air and abdominal calcifications
 
Recognizing the parameters that define a good chest x-ray; avoiding common pitfalls
 
How to recognize the most common arthritides


Now Open!

LearningRadiology
Named Magazine's
"25 Most Influential"



See Article on LearningRadiology
in August, 2010
RSNA News


LearningRadiology.com
is an award-winning educational website aimed primarily at medical students and radiology residents-in-training, containing  lectures, handouts, images, Cases of the Week, archives of cases, quizzes, flashcards of differential diagnoses and “most commons” lists, primarily in the areas of chest, GI, GU cardiac, bone and neuroradiology.