What is the most likely diagnosis?
- 61 year-old with increasing shortness of breath

Frontal Radiograph of Chest
- Aortic Stenosis
- Tetralogy of Fallot
- Tricuspid Atresia
- Tricuspid Regurgitation
- Mitral Stenosis
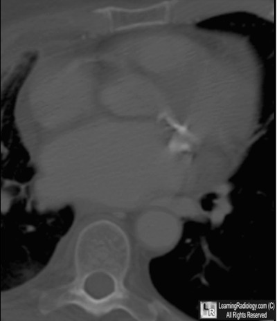
Additional Images - Axial CT Scan of Heart

Additional Images

Axial CT Scan of Heart

Answer:
5. Mitral Stenosis
More (Click Discussion Tab)
Mitral Stenosis
General Considerations
-
Rheumatic disease causes mitral stenosis in 99.8% of cases
-
Acute rheumatic fever (ARF) → pancarditis
-
Mitral valve most commonly involved valve
-
Followed by mitral and aortic together
- Then by aortic alone
- Acute phase → cardiomegaly