Cardiac
GI
Bone
GU
Neuro
Peds
Faculty
Student
Quizzes
Image DDX
Museum
Mobile
  Misc
Videocasts
Signs
Twitter

 

 


Learning
Radiology:
Recognizing
the Basics

Available
on the Kindle
and IPad


LearningRadiology Imaging Signs
on Twitter


 

Follow us on

Case of the Week 568


What is the most likely diagnosis?

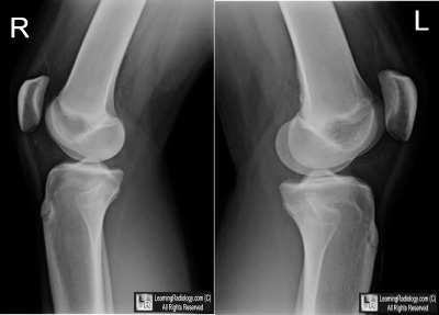
  • 11 year-old male who struck left knee



Lateral Radiographs of both Right and Left Knees

  1. Osteosarcoma
  2. Osgood-Schlatter Disease
  3. Cortical Desmoid
  4. Dislocated Patella
  5. Spokewheel Fracture

Additional Image-None

 

Additional Images

 


None


Answer:

 

3. Cortical Desmoid

 

More (Click Discussion Tab)

 

 

Cortical Desmoid

General Considerations

  • AKA Distal Femoral Metaphyseal Irregularity, Avulsive Cortical Irregularity, Periosteal Desmoid
  • Age range: 3-17 years, most common 10-15
  • Cortical irregularity at the posterior, medial and distal femur deep to the attachments of medial gastrocnemius or distal adductor magnus

MORE . . .

 


.

This Week

11 year-old male who struck left knee
 
 
Some of the fundamentals of interpreting chest images
 
The top diagnostic imaging diagnoses that all medical students should recognize according to the Alliance of Medical Student Educators in Radiology
 
Recognizing normal and  key abnormal intestinal gas patterns, free air and abdominal calcifications
 
Recognizing the parameters that define a good chest x-ray; avoiding common pitfalls
 
How to recognize the most common arthritides




LearningRadiology
Named Magazine's
"25 Most Influential"



See Article on LearningRadiology
in August, 2010
RSNA News


LearningRadiology.com
is an award-winning educational website aimed primarily at medical students and radiology residents-in-training, containing  lectures, handouts, images, Cases of the Week, archives of cases, quizzes, flashcards of differential diagnoses and “most commons” lists, primarily in the areas of chest, GI, GU cardiac, bone and neuroradiology.