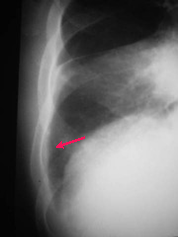
A laminar effusion collects
between the lung and the
visceral pleura in the loose
connective tissue of the
subpleural space
Laminar effusions are
usually seen with CHF or
lymphangitic spread of
tumor
Laminar Effusion