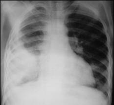
A loculated effusion
has an unusual
shape (lentiform) or
position in the
thoracic cavity
This is a loculated
empyema
Loculated Effusion