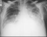
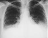
Effect of Position - Layering
Erect
Supine
In the supine position, the fluid layers out posteriorly and produces a
haziness, especially near the bases (since the patient is actually semi-
recumbent). In the erect position, the fluid falls even more to the bases.