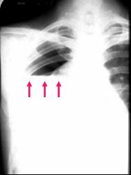
A straight edge,
indicative of a fluid
interface, in this
case an air-fluid
interface, is seen on
the right.
In order to have an
air-fluid level in the
pleural space, there
must be a
pneumothorax
present.
Hydropneumothorax