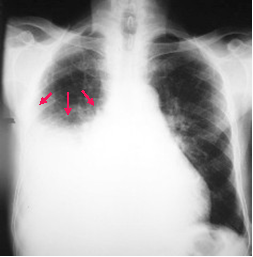
Fluid rises higher
along the edge of
a pleural effusion
producing an
upside down “U”
or meniscus
shape
Meniscus Sign