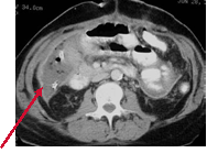
There is a “pad sign” (extrinsic impression) on the loop of bowel in
the RLQ. This is caused by a soft tissue mass impressing the bowel
from outside. The CT shows an abscess from a ruptured appendix.