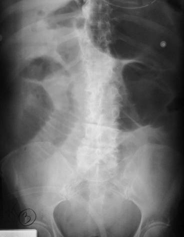
Cecal Volvulus
Dilated loop in LUQ is cecum which has twisted on itself
Dilated loops of small bowel from small bowel obstruction at ileocecal valve