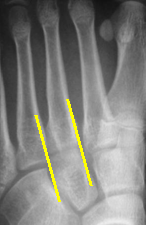
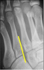
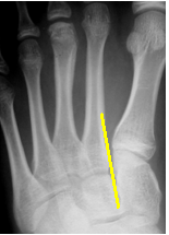
The normal midfoot