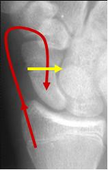
Scaphoid fracture
n Blood supply for the
proximal pole enters at
the waist
n If fracture disrupts
blood supply, proximal
pole at risk for
avascular necrosis