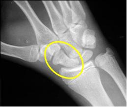
You need a scaphoid
view to be certain!