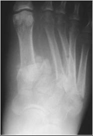
May be subtle
May be obvious