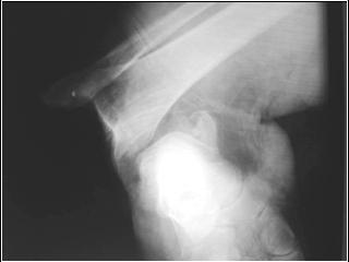
Sometimes you know a fracture is
an open fracture (even without
clinical evaluation!!!)