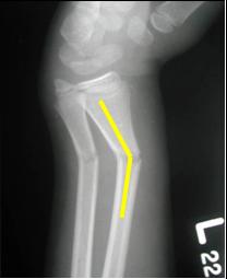
Radial and ulnar fractures demonstrate
posterior (or dorsal) angulation
Posterior/
dorsal
Anterior/
ventral