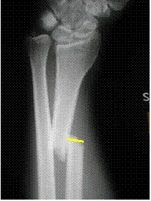
One shaft width
ulnar displacement
of distal radius
relative to proximal
shaft