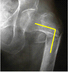
There is a
comminuted
femoral fracture
with varus
angulation
Varus= distal fragment
points toward body