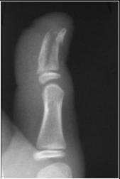
Longitudinal fracture
n Occurs along long axis
of bone