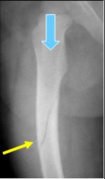
Oblique fracture
n Force applied in
same direction as
long axis of bone