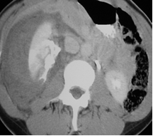
Fractured Kidney with large
 retroperitoneal mixed
 hematoma-urinoma
Initial image
Delayed Image