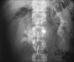
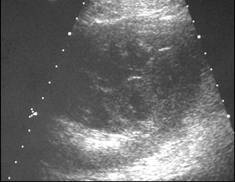
Subcapsular collection