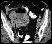
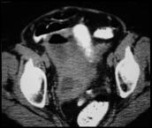
Perforated Appendicitis with right pyosalpinx and pyometra